Weisheitszahn Probleme – Ursachen erkennen und Schmerzen wirksam behandeln
Weisheitszähne – Sorgenkind vieler Patienten

Die Weisheitszähne sind häufig die letzten Zähne, die im Erwachsenenalter durchbrechen. Für viele Patienten bedeutet dieser Prozess Schmerzen, Schwellungen und Unbehagen. Weisheitszahn Probleme gehören zu den häufigsten zahnmedizinischen Beschwerden und sorgen oft für Unsicherheit und Ängste bei Betroffenen. Doch welche Ursachen stecken dahinter und wie kann man Schmerzen und Beschwerden effektiv lindern?
Regelmässig besuchen uns Patienten mit Druckbeschwerden oder ausstrahlenden Schmerzen aus dem Kieferwinkelbereich. Die Weisheitszähne üben bei fortschreitendem Wachstum oftmals Druck auf die Zahnreihe aus, meistens in Schüben, oder üben seitlich Druck auf die Wangenschleimhäute aus. Diese Beschwerden sind meist nach deren Entfernung sofort und vollständig verschwunden. Man vermutet, die Weisheitszähne waren von der Natur gedacht, schon kaputte Zähne im vorderen Bereich im späten Teeniealter zu ersetzen (daher der Vorwärtsdruck) und da heute eine bessere Mundhygiene, oder gar Kieferorthopädie die Zähne regelrecht einstellt und Zähne erhält, werden die Weisheitszähne gegen ihren Ursprungsgedanken nicht weiter benötigt und Versursachen eher Beschwerden.
Ursachen, Symptome und Risikofaktoren für Weisheitszahn Probleme
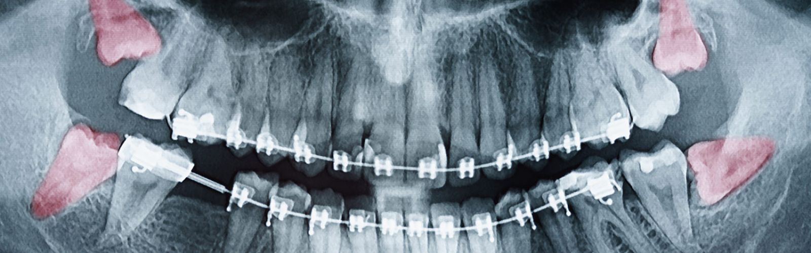
Weisheitszähne verursachen vor allem dann Beschwerden, wenn im Kiefer nicht genug Platz vorhanden ist. Sie können schief wachsen, nur teilweise durchbrechen oder im Knochen steckenbleiben. Dies führt häufig zu Entzündungen, Schmerzen oder sogar Infektionen. Typische Symptome sind Schwellungen des Zahnfleisches, Schmerzen beim Kauen, ein unangenehmer Geschmack im Mund und in manchen Fällen sogar Kopfschmerzen oder Ohrenschmerzen.
Ein erhöhtes Risiko besteht besonders bei jungen Erwachsenen zwischen 17 und 25 Jahren, da dies die typische Altersphase für das Durchbrechen der Weisheitszähne ist.
Erste Hilfe bei akuten Weisheitszahn Beschwerden
Bei akuten Schmerzen und Entzündungen durch Weisheitszähne können folgende Maßnahmen helfen:
- Kühlen Sie die betroffene Wange vorsichtig mit kalten Kompressen.
- Nehmen Sie schmerzlindernde und entzündungshemmende Medikamente wie Ibuprofen nach Rücksprache mit einem Arzt ein.
- Spülen Sie den Mundraum regelmäßig mit antibakteriellen Mundspüllösungen oder warmem Salzwasser, um Infektionen vorzubeugen.
Bei Zahnschmerzen speziell beim Kauen kann Ihnen der Artikel Plötzlich Zahnschmerzen beim Kauen – was kann das sein? weiterhelfen.
Professionelle Behandlungsmöglichkeiten bei Weisheitszahn Problemen
Sollten die Beschwerden nicht abklingen oder regelmäßig wiederkehren, empfiehlt sich ein Besuch beim Zahnarzt oder Kieferchirurgen. In der Praxis wird zunächst eine genaue Untersuchung und Röntgenaufnahme durchgeführt, um die Lage der Weisheitszähne und mögliche Risiken einzuschätzen. Häufig werden Weisheitszähne operativ entfernt, insbesondere wenn sie nicht vollständig durchbrechen oder schief wachsen und dadurch andere Zähne beeinträchtigen.
Die meisten Patientinnen und Patienten haben Sorge, dass die Weisheitszähne schwierig zu entfernen sind. Das hängt allerdings sehr von deren Anatomie oder Einbettung in die Umgebung ab. Eine Vorabeinschätzung sorgt meistens für eine Erleichterung bei den Patienten.
Wenn Sie unsicher sind, ob eine Entfernung wirklich nötig ist, bietet unser Artikel Wie sinnvoll ist eine zweite Zahnarztmeinung? hilfreiche Informationen.

Wann dringend zum Zahnarzt oder Notdienst?
Suchen Sie dringend professionelle Hilfe auf, wenn folgende Symptome auftreten:
- Starke, anhaltende Schmerzen, die mit Schmerzmitteln nicht gelindert werden können
- Deutliche Schwellungen oder Fieber
- Schwierigkeiten beim Öffnen des Mundes oder Schlucken
- Anzeichen von Eiter oder einer schweren Infektion
Unser Artikel Zahnschmerzen: Ursachen, Behandlung und wann zum Zahnarzt? bietet hierzu weitere nützliche Informationen.
Praktische Alltagstipps und Prävention
Um Problemen mit Weisheitszähnen vorzubeugen, ist eine sorgfältige Mundhygiene unerlässlich. Regelmäßige Kontrollbesuche beim Zahnarzt und eine professionelle Zahnreinigung können frühzeitig aufkommende Probleme erkennen und behandeln. Mehr zum Thema Prophylaxe erfahren Sie in unserem Beitrag zur Professionellen Zahnreinigung: Wie oft und warum?.
Bei Sorgen oder Angst vor einer möglichen Weisheitszahnentfernung empfehlen wir Ihnen unseren Artikel Zahnarztangst: Was hilft wirklich?, um hilfreiche Strategien gegen Ängste zu entdecken.
Fazit
Weisheitszähne verursachen häufig Probleme, sind aber gut behandelbar. Frühzeitiges Erkennen der Ursachen und rechtzeitiges Handeln sind entscheidend für eine schnelle und nachhaltige Linderung der Beschwerden. Sollten Sie Fragen haben oder schnell Rat benötigen, steht Ihnen DentoHelp als unkomplizierte und fachkundige Online-Hilfe zur Seite.














